
Rock Your Smile
Lokalizacja
Ladowanie mapy...
Powstańców Śląskich 9, 53-332 Wrocław, Polska
O firmie
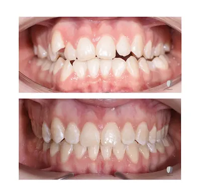
Rock Your Smile to klinika ortodontyczna zlokalizowana przy ul. Powstańców Śląskich 9 we Wrocławiu (53-332). Specjalizuje się w leczeniu wad zgryzu u dorosłych i dzieci, oferując kompleksową opiekę ortodontyczną. Gabinet cieszy się wysoką oceną 4.8/5 w Google na podstawie 43 opinii, co świadczy o uznaniu pacjentów. Klienci chwalą przede wszystkim profesjonalizm dr Magdaleny Krakowiak, która wyróżnia się indywidualnym podejściem i dokładnym wyjaśnianiem etapów leczenia. Wielu podkreśla miłą atmosferę, kompetentną obsługę na recepcji oraz komfort wizyt, nawet dla tych, którzy wcześniej obawiali się stomatologa. Pacjenci zauważają szybkie postępy w korekcie zgryzu, nowoczesny sprzęt i elastyczny system kontaktu. Leczenie trwa często od kilku miesięcy do dwóch lat, z kontynuacją dla osób przenoszących się między miastami, jak z Poznania do Wrocławia. Choć pojawiają się pojedyncze głosy krytyki dotyczące konsultacji, większość recenzji wskazuje na rodzinną atmosferę i rzetelność usług. Klinika zachęca do wizyt z rabatami, dbając o wygodę pacjentów w każdym wieku. (198 słów)
Co mowia klienci
“Klinika Rock Your Smile zbiera bardzo pozytywne opinie, głównie za profesjonalizm lekarzy, zwłaszcza dr Magdaleny Krakowiak, oraz miłą atmosferę. Pacjenci chwalą indywidualne podejście, nowoczesny sprzęt i komfortowe leczenie ortodontyczne dla dorosłych i dzieci. Pojedyncze negatywne recenzje wskazują na problemy z kompetencjami w konsultacjach.”
Mocne strony
- Profesjonalizm i wiedza dr Magdaleny Krakowiak
- Indywidualne i empatyczne podejście do pacjenta
- Miła atmosfera i obsługa recepcji
- Nowoczesny sprzęt i skuteczne leczenie
- Dobre podejście do dzieci i elastyczność terminów
Do poprawy
- Brak odpowiedzi na pytania pacjentów podczas konsultacji u dr Krakowiak
- Wątpliwości co do kompetencji w ustalaniu planu leczenia
Idealne dla
Idealna dla pacjentów szukających profesjonalnej ortodoncji w komfortowej atmosferze, zarówno dorosłych, jak i dzieci.
Kategorie
Podobne firmy w okolicy

Orto Face - Ortodonta Wrocław
M-dent Magdalena Nadolna-Karpińska

mf.dent STOMATOLOGIA - ortodoncja, Invisalign, protetyka, endodoncja, stomatologia

Prime Dental

Centrum Ortodontyczne OrthoLine Patrycja Downarowicz

Ortodonta OrthoTeam Stomatologia Warmuz - Implanty zębowe
Inne firmy w okolicy

Novotel Wrocław Centrum

Pure Rental Apartments - Apartamenty Wrocław

Kancelaria Rzeczników Patentowych FTIP sp. z o.o.

ibis Wrocław Centrum

Kancelaria Radcy Prawnego Mateusz Płudowski
Szprinterek

Stomatologia Medicover Globis - Dentysta Wrocław Raty 0%, Stomatologia dziecięca, Implanty, Invisalign, Sedacja, Protetyka

SPEKTRUM Wrocław – Ośrodek Okulistyki Klinicznej

Celestial Medycyna Estetyczna Wrocław

Dr n. med. Paweł Piotrów - Urolog i Androlog

dr n. med. Agnieszka Janus

Dr n. med. Jerzy Medyński

DCG Centrum Medyczne

dr Małgorzata Markuszewska Medycyna Estetyczna Botox Zabiegi Hifu Powiększanie ust Wolumetria Twarzy Usuwanie Zmarszczek

Pomoc Drogowa Wrocław 24/7 MD HelpCar

Wrocławskie Centrum Kredytowe - Doradca Kredytowy Wrocław

KredytEkspert - Doradca Kredytowy Wrocław

Bouffal Studio
PZU Ubezpieczenia Wrocław - Agent Tomasz Szachnowski
Patryk Pawłowski Firma Remontowo-Budowlana PATBUD